Was können wir für Sie tun?​

LEISTUNGEN​

Durch stetige Fortbildungen und moderne Technik bieten wir ein Höchstmaß an Kompetenz und garantieren Ihnen individuelle Therapiemöglichkeiten, die dem aktuellen Stand der
Zahnmedizin entsprechen.

Infiltration mit Kunststoff

ICON

Die Infiltration mit Kunststoff gegen white spots

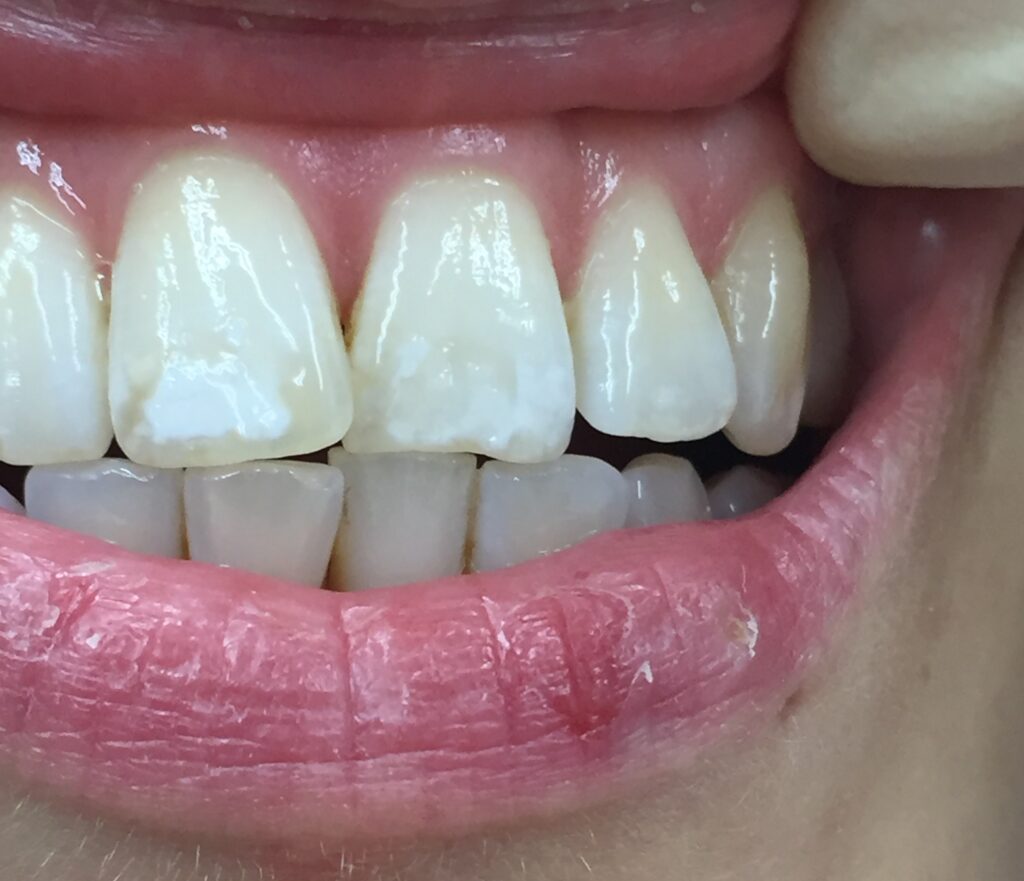
Mund mit Zähnen mit weißen Flecken auf dem Schmelz
Vorher
Mund mit Zähnen ohne weiße flecken
Nachher

Icon-Behandlung mit vestibulärer Infiltration: White Spots schonend entfernen

White Spots, auch Entkalkungsflecken oder Initialkaries genannt, sind weißliche Verfärbungen auf den Zähnen, die das ästhetische Erscheinungsbild erheblich beeinträchtigen können. Mit der innovativen Icon-Methode lassen sich diese unschönen Flecken minimalinvasiv und ohne Bohren behandeln.

Was sind White Spots und wie entstehen sie?

White Spots sind Demineralisierungen des Zahnschmelzes, die als milchig-weiße oder kreidige Flecken auf der Zahnoberfläche sichtbar werden. Diese Entkalkungen entstehen durch verschiedene Ursachen:

  • Nach kieferorthopädischer Behandlung: Häufig bleiben nach dem Entfernen festsitzender Zahnspangen weiße Flecken zurück, besonders im Bereich der Brackets
  • Mangelnde Mundhygiene: Unzureichende Zahnpflege führt zu Plaqueanlagerungen und damit zur Demineralisation
  • Säureeinwirkung: Häufiger Konsum von säurehaltigen Getränken oder Lebensmitteln
  • Fluoridmangelversorgung: Unzureichende Fluoridierung während der Zahnentwicklung
  • Initiale Karies: Beginnende Kariesläsionen zeigen sich zunächst als weiße Flecken

Die Icon-Methode: Infiltration statt Bohren

Icon (Infiltration Concept) ist ein revolutionäres Verfahren zur ästhetischen Behandlung von White Spots auf den Zahnoberflächen. Der Produktname Icon steht für eine mikroinvasive Therapie, bei der die porösen Entkalkungsstellen mit einem speziellen Kunststoff infiltriert werden.

So funktioniert die Icon-Behandlung:

  1. Vorbereitung mit vestibulärer Infiltrationsanästhesie: Für maximalen Patientenkomfort wird eine lokale Betäubung im vestibulären Bereich (Mundvorhof) gesetzt
  2. Oberflächenkonditionierung: Die betroffene Stelle wird mit einem speziellen Gel behandelt, um die poröse Schmelzstruktur zu öffnen
  3. Trocknung: Anschließend wird die Oberfläche getrocknet und vorbereitet
  4. Infiltration: Der flüssige Icon-Kunststoff wird aufgetragen und dringt in die porösen Bereiche des Zahnschmelzes ein
  5. Lichthärtung: Der Kunststoff wird mit einer speziellen Lampe ausgehärtet
  6. Politur: Abschließend wird die Oberfläche poliert für ein natürliches Aussehen

Vorteile der Icon-Behandlung mit vestibulärer Infiltration

  • Kein Bohren notwendig: Die gesunde Zahnsubstanz bleibt vollständig erhalten
  • Schmerzfreie Behandlung: Durch die gezielte vestibuläre Infiltrationsanästhesie
  • Sofortiges ästhetisches Ergebnis: Die White Spots werden unmittelbar kaschiert
  • Schnelle Behandlung: In nur einer Sitzung durchführbar
  • Natürliches Aussehen: Die behandelten Stellen fügen sich harmonisch in die Zahnfarbe ein
  • Minimalinvasiv: Substanzschonendes Verfahren ohne Zahnhartsubstanzverlust

Für wen eignet sich die Icon-Behandlung?

Die Icon-Therapie ist besonders geeignet für Patienten mit:

  • White Spots nach kieferorthopädischer Behandlung
  • Entkalkungsflecken durch unzureichende Mundhygiene
  • Initialkaries im Frühstadium
  • Ästhetischen Beeinträchtigungen durch weißliche Verfärbungen
  • Dem Wunsch nach einer substanzschonenden Alternative

Icon vestibuär vs. Icon approximal

Während die Icon-Behandlung grundsätzlich auch für approximale Flächen (Zahnzwischenräume) verfügbar ist, konzentrieren wir uns auf die vestibuläre Anwendung. Hierbei werden White Spots auf den sichtbaren Außenflächen der Zähne behandelt – dort, wo ästhetische Beeinträchtigungen am stärksten auffallen.

Langfristige Ergebnisse und Nachsorge

Nach der Icon-Infiltration ist die behandelte Stelle versiegelt und gegen weitere Demineralisation geschützt. Mit guter Mundhygiene und regelmäßigen Kontrollen bleibt das ästhetische Ergebnis dauerhaft erhalten. Die infiltrierten Bereiche verhalten sich wie gesunder Zahnschmelz und benötigen keine besondere Pflege.

 

FAQ: Häufig gestellte Fragen zur Icon-Behandlung

Was kostet eine Icon-Behandlung?

Die Kosten für eine Icon-Behandlung variieren je nach Anzahl und Größe der zu behandelnden White Spots. Da es sich um eine ästhetische Behandlung handelt, werden die Kosten in der Regel nicht von den gesetzlichen Krankenkassen übernommen. Wir erstellen Ihnen gerne einen individuellen Kostenvoranschlag nach einer persönlichen Beratung.

Ist die Icon-Behandlung schmerzhaft?

Nein, die Icon-Behandlung ist schmerzfrei. Durch die vestibuläre Infiltrationsanästhesie (lokale Betäubung) spüren Sie während der gesamten Behandlung keine Schmerzen. Viele Patienten empfinden die Behandlung als sehr angenehm, da kein Bohren notwendig ist.

Wie lange dauert die Behandlung?

Eine Icon-Sitzung dauert in der Regel 30 bis 60 Minuten, abhängig von der Anzahl der zu behandelnden Zähne und der Größe der White Spots. Die gesamte Behandlung wird in nur einem Termin abgeschlossen.

Sind die Ergebnisse sofort sichtbar?

Ja, direkt nach der Behandlung sehen Sie das ästhetische Ergebnis. Die weißlichen Flecken werden unmittelbar kaschiert und fügen sich harmonisch in die natürliche Zahnfarbe ein.

Wie lange hält das Ergebnis der Icon-Behandlung?

Bei guter Mundhygiene und regelmäßigen zahnärztlichen Kontrollen ist das Ergebnis der Icon-Infiltration dauerhaft. Die infiltrierten Bereiche sind versiegelt und gegen weitere Demineralisation geschützt.

Kann jeder White Spot mit Icon behandelt werden?

Die meisten oberflächlichen White Spots auf den Zahnoberflächen (vestibuläre Flächen) eignen sich für die Icon-Behandlung. In einem persönlichen Beratungsgespräch prüfen wir, ob Ihre White Spots für diese Methode geeignet sind. Sehr tiefe Verfärbungen oder fortgeschrittene Karies können möglicherweise andere Behandlungsansätze erfordern.

Was muss ich nach der Behandlung beachten?

Nach der Icon-Behandlung sollten Sie für etwa 24 Stunden auf stark färbende Lebensmittel und Getränke wie Kaffee, Tee, Rotwein oder Curry verzichten. Ansonsten können Sie Ihre Zähne ganz normal pflegen. Eine gute Mundhygiene trägt dazu bei, das Ergebnis langfristig zu erhalten.

Gibt es Risiken oder Nebenwirkungen?

Die Icon-Behandlung ist ein sicheres und erprobtes Verfahren mit minimalen Risiken. Da keine Zahnhartsubstanz abgetragen wird, ist die Behandlung besonders schonend. In seltenen Fällen kann es zu leichten Überempfindlichkeiten kommen, die jedoch schnell wieder abklingen.

Wie unterscheidet sich Icon von Veneers oder Bleaching?

Im Gegensatz zu Veneers muss bei der Icon-Behandlung keine Zahnsubstanz abgeschliffen werden. Beim Bleaching werden die Zähne aufgehellt, White Spots können dabei aber sogar noch deutlicher hervortreten. Icon behandelt gezielt die demineralisierten Stellen und erhält dabei die natürliche Zahnsubstanz vollständig.

Werden die Zähne durch Icon geschwächt?

Nein, im Gegenteil. Die Icon-Infiltration stabilisiert den angegriffenen Zahnschmelz und schützt ihn vor weiterer Demineralisation. Die behandelten Bereiche werden sogar widerstandsfähiger gegenüber Säureangriffen.

Kann ich nach der Behandlung sofort wieder essen und trinken?

Ja, Sie können direkt nach der Behandlung wieder essen und trinken. Allerdings empfehlen wir, in den ersten 24 Stunden stark färbende Substanzen zu meiden, um das optimale ästhetische Ergebnis zu gewährleisten.

Was passiert, wenn ich meine White Spots nicht behandeln lasse?

Unbehandelte White Spots können sich zu einer manifesten Karies entwickeln, die dann eine invasivere Behandlung mit Bohren und Füllung erfordert. Zudem bleiben die ästhetischen Beeinträchtigungen bestehen. Eine frühzeitige Icon-Behandlung kann dies verhindern.

Übernimmt die Krankenkasse die Kosten?

Die gesetzlichen Krankenkassen übernehmen die Kosten für die Icon-Behandlung in der Regel nicht, da es sich um eine ästhetische Leistung handelt. Private Krankenversicherungen erstatten die Kosten teilweise, abhängig vom individuellen Tarif. Sprechen Sie uns gerne darauf an.

Können auch Kinder mit Icon behandelt werden?

Ja, die Icon-Behandlung eignet sich auch für Kinder und Jugendliche, beispielsweise nach dem Entfernen einer festen Zahnspange. Da die Behandlung minimalinvasiv und schmerzfrei ist, wird sie von jungen Patienten meist sehr gut toleriert.